
Am I Ready for Cosmetic Dentistry? | What Dentists Examine
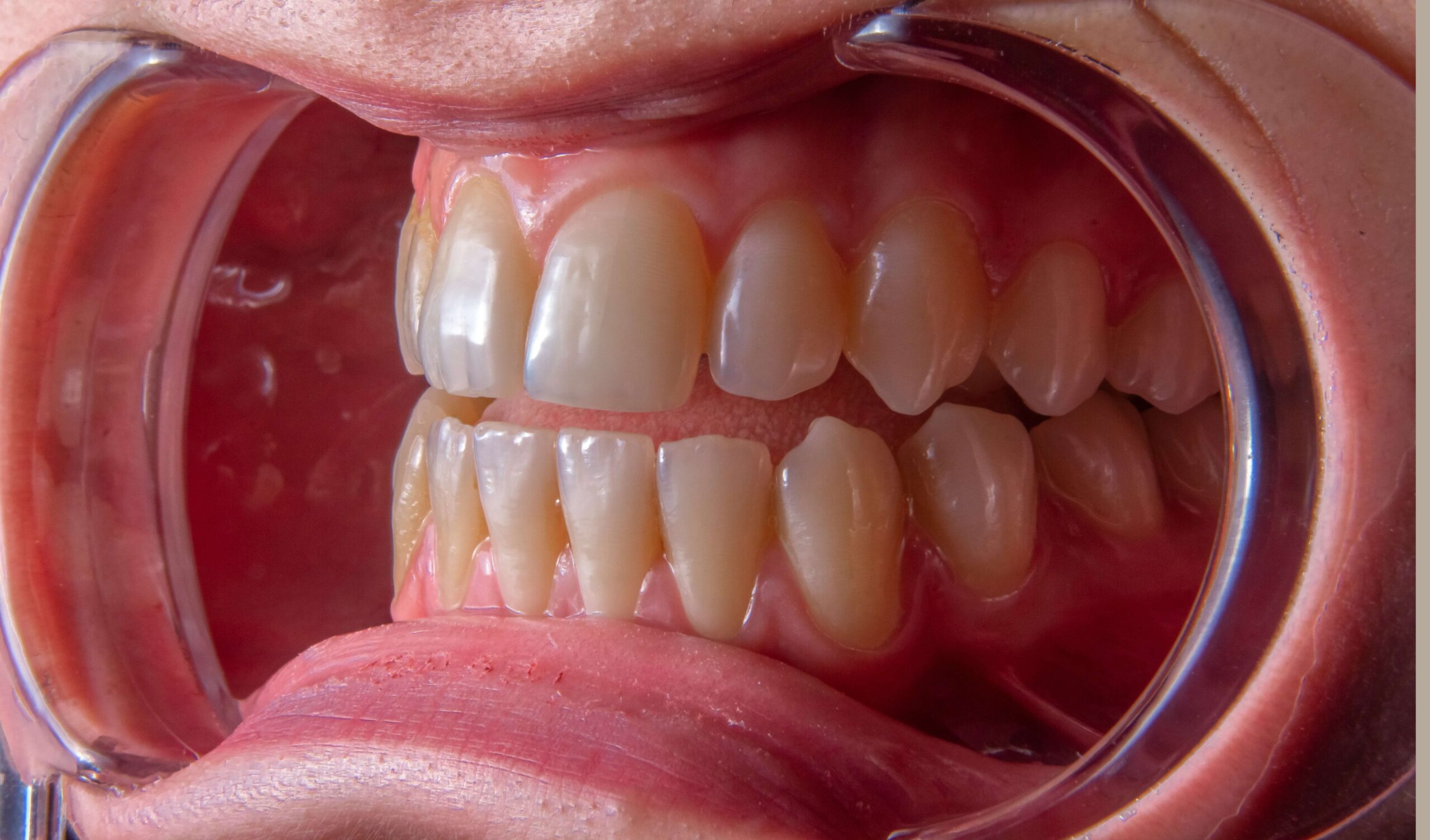
You may be ready for cosmetic dentistry if your teeth and gums are healthy, your concerns affect your confidence or function, and you understand the commitment to care and maintenance.

You may be ready for cosmetic dentistry if your teeth and gums are healthy, your concerns affect your confidence or function, and you understand the commitment to care and maintenance.

Thinking about veneers but feeling uncertain? Many people who visit Vegas Smile Suite express interest in transforming their smile but feel hesitant to take the next step. This reaction is natural and signals good judgment.

Quick Answer: Tetracycline stains are underlying tooth discolorations caused by antibiotic exposure during tooth development. Unlike surface stains, they embed in dentin (the layer beneath the enamel) and resist whitening. Mild cases may improve with extended professional whitening. Moderate to severe cases often require cosmetic treatments, such as veneers or crowns. At Vegas Smile Suite, Dr. Michaela Tozzi and Dr. Tom Lawler help clients find the correct treatment. Professional whitening

Professional in-office treatments like Zoom or KöR whitening deliver the strongest results for smokers, using high-strength peroxide to remove stubborn nicotine and tar stains that over-the-counter products can’t address.

Teeth whitening is safe for enamel when used correctly. Most products cause temporary sensitivity. Risks increase with overuse, high-concentration products, or existing enamel problems. Professional guidance ensures the safest results.

Dental veneers are a significant investment in your smile. These custom restorations need dedicated care to protect them and maintain their appearance. The longevity of veneers depends on habits, professional maintenance, and lifestyle.